



3차원 신기술 중심의 산업혁명 물결이 의료계에도 변화를 일으키고 있다. 검사부터 치료까지의 전 단계가 아날로그에서 디지털을 이용한 기술로 진화하고 있다. 치과도 예외가 아니다. 빠르고 정확하게 진료하기 위한 시설투자 경쟁이 치열하다.
그중 선병원재단(이사장 선두훈) 선치과병원(원장 선경훈)은 세계적 기술력 보유를 목표로 지난 2013년부터 각종 첨단 장비를 설치 및 도입하면서 임플란트 진료시스템을 지속적으로 강화하고 있다. 먼저 임플란트 전 검사 단계에서는 3D 구강스캐너와 치과CT(Cone Beam CT)로 환자의 구강 상태를 정밀하게 진단한다.
구강구조와 턱뼈는 물론, 피부 밑 신경의 상태까지 확인할 수 있다. 뼈와 신경선에 대한 파악은 임플란트와 악안면수술의 성공률을 크게 좌우한다. 골밀도가 낮은 곳에 임플란트를 심거나 신경선을 잘못 건드리면 수술이 실패하거나 신경손상 같은 부작용이 발생할 수 있기 때문이다.
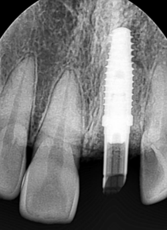
위의 장비들을 통해 얻은 3차원 정보는 즉시 컴퓨터로 전송돼 모의수술 단계를 거친다. 수술을 가장 안전하고 성공적으로 마칠 수 있는 방법을 찾아내는 것이다. 특히 이 모의수술 단계에선 최종보철물이 제작된다. 최종보철물이 바로 제작되는 덕분에 임플란트 식립 기간이 6개월에서 1일로 크게 줄었다. 예전에는 임시치아를 수술 당일에 끼우고 수개월 뒤 다시 내원해 최종보철물로 교체했다. 과거 진료 기간 연장의 주범이었던 아날로그 방식은 선치과병원에서 찾아볼 수 없다.
또 수술 완성도를 높이기 위해 수술 가이드를 제작했다. 수술 가이드는 구멍 뚫린 마우스피스 같은 모양을 하고 있다. 수술 시 이 구멍을 활용해 계획된 위치에 임플란트를 심게 되므로 잇몸절개 없이도 수술이 가능해졌다. 출혈이 적고 회복이 빠르다는 장점도 있다. 이러한 진료를 가능케 하기 위해 선치과병원은 첨단 장비들을 적극 도입했다. 현재 선치과병원은 ‘arum200’ 등 밀링머신 8대와 구강용 3D프린터(nextdent 5100, DIO PROBO 등) 7대를 보유하고 있다. 원래 3D 프린터는 주로 산업분야에서 사용됐지만, 2017년부터 치과에 도입되고 있다.
선치과병원은 환자안전 관리에도 공을 들였다. 대전·충청 치과 최대 규모급 중앙공급실(CSR)을 갖추고 전문 인력을 배치했다. 중앙공급실은 치과에서 사용되는 각종 기구의 멸균과 소독을 담당한다. 현재 선치과병원은 증기멸균기(Auto clave), 가스멸균기(E.O gas sterilizer), 초음파세척기를 최상급 시설들로 보유하고 있다.
선경훈 선치과병원장은 “메르스 사태가 불거진 지난 2015년을 기점으로 감염관리와 환자안전에 가장 엄격한 기준을 적용하고 있다”며 “미국 연방 직업안전·보건국(OSHA)의 위생기준도 통과한다”고 말했다.
한편, 선치과병원은 1997년 대전권 최초의 치과병원으로 개원, 현재 34명의 전문의 및 일반의가 치과 의료 서비스를 제공하며 첨단 의료산업 변화를 선도적으로 수행하고 있다.
도움말=선경훈 선치과병워장
정리=강선영 기자 kkang@ggilbo.com
정리=강선영 기자 kkang@ggilbo.com
강선영 기자
kkang@ggilbo.com
